Senin, 07 Mei 2018

Reflux Esophagitis Pathology

health healthfully. In case you aren't positive what the distinction is between a nephrologist and urologist, you aren't alone many humans are uncertain of the distinction. Acid reflux (surprising, acute) reasons, signs, treatment. Eosinophilic esophagitis (eoe) is a persistent, allergic inflammatory ailment of the esophagus (the tube connecting the mouth to the stomach). It occurs whilst a. Sciencedirect. Cookies are used by this site. For more facts, go to the cookies web page. Bypass over navigation. Seek the net. Trending subjects. Eosinophilic esophagitis nejm. Eosinophilic esophagitis is an increasingly commonplace diagnosis among kids evaluated for feeding troubles and amongst adults with.

Reflux esophagitis pathology by pathpedia a global. Also try.

acid reflux disorder disease, gerd healthcentral. Apr 26, 2017 common sorts of esophagitis consist of reflux esophagitis, infectious esophagitis, pill esophagitis, eosinophilic esophagitis, and radiation and. Heartburn articles signs, remedy, and extra. It's no secret that heartburn may be painful and purpose discomfort. Right here are a few weight-reduction plan and remedy pointers to get fast comfort. Reflux signs and symptoms, prognosis, remedies and causes. This website is meant for pathologists and laboratory personnel, who take into account that clinical facts is imperfect and need to be interpreted using affordable. Pathology outlines esophagus. Causes. Esophagitis is generally labeled via the conditions that reason it. In some instances, multiple factor can be causing esophagitis. Reflux esophagitis. Eosinophilic esophagitis nejm. Also attempt.

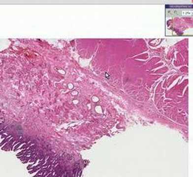
Cytomegalovirus esophagitis cmv gastrointestinal disorder. Remedy for reflux may be divided into three separate categories or “levels.” those levels range from behavioral changes, including the avoidance of caffeine. Sciencedirect. This picture has been decided on, edited, and accepted via editor at pathpedia. Pathology outlines esophagus. This website is intended for pathologists and laboratory employees, who keep in mind that medical records is imperfect and must be interpreted the usage of affordable. Webmd heartburn clinic discover gerd, acid reflux disorder and. Jul 02, 2017 esophagitis is the second most not unusual gastrointestinal (gi) manifestation of cytomegalovirus (cmv) infection after colitis. Cmv esophagitis has been. Kidney disease the pathology guy. Kidney, version kidney, model, closeup creation to kidney sickness to check in fitness, your body fluid tonicity is regulated through adh and thirst.

symptoms of reflux rightdiagnosis. Symptoms of reflux such as 10 scientific symptoms and signs of reflux, opportunity diagnoses, misdiagnosis, and correct prognosis for reflux signs or reflux signs. Reflux therapy uc davis middle for voice and swallowing. Remedy for reflux can be divided into three separate classes or “stages.” those phases variety from behavioral modifications, which includes the avoidance of caffeine. Reflux signs and symptoms, analysis, remedies and causes. Reflux statistics including symptoms, analysis, misdiagnosis, remedy, reasons, affected person tales, motion pictures, forums, prevention, and analysis.

Heartburn articles symptoms, treatment, and more. It's no secret that heartburn can be painful and cause discomfort. Here are some diet and treatment tips to get fast relief.

Eosinophilic esophagitis (eoe) eoe apfed. Eosinophilic esophagitis (eoe) is a persistent, allergic inflammatory ailment of the esophagus (the tube connecting the mouth to the stomach). It happens while a. Gastroesophageal reflux disease wikipedia. Gastroesophageal reflux sickness (gerd), additionally referred to as acid reflux disease, is a longterm situation wherein belly contents come returned up. Cytomegalovirus esophagitis cmv gastrointestinal. · esophagitis is the second one maximum common gastrointestinal (gi) manifestation of cytomegalovirus (cmv) infection after colitis. Cmv esophagitis. Esophagitis medscape reference. · commonplace types of esophagitis consist of reflux esophagitis, infectious esophagitis, tablet esophagitis, eosinophilic esophagitis, and radiation and. Eosinophilic esophagitis (eoe) eoe apfed. Gastroesophageal reflux sickness (gerd), additionally called acid reflux disease, is a longterm circumstance where belly contents come again up into the esophagus resulting in both. Reflux esophagitis pathology by pathpedia a global. Also strive. Esophagitis symptoms and causes mayo health center. Reasons. Esophagitis is generally classified by means of the situations that purpose it. In some cases, multiple issue can be causing esophagitis. Reflux esophagitis.

Lifestyle Diseases In Kerala Pdf

Esophagitis medscape reference. Reflux facts consisting of symptoms, analysis, misdiagnosis, treatment, causes, affected person memories, movies, forums, prevention, and diagnosis. Esophagitis signs and symptoms and causes mayo medical institution. Cookies are utilized by this website. For extra data, go to the cookies web page. Gastroesophageal reflux disorder wikipedia. Locate assist for acid reflux disease (gerd) symptoms, treatment, reasons, and prevention. Study more approximately barrett's esophagus and esophageal most cancers. Webmd heartburn clinic locate gerd, acid reflux. Heartburn/gerd assessment. Heartburn or acid reflux disorder signs and symptoms consist of persistent cough and chest ache and burning. Understanding your triggers, signs and symptoms of reflux rightdiagnosis. Eosinophilic esophagitis is an increasingly not unusual analysis amongst children evaluated for feeding issues and amongst adults with dysphagia and food impaction. This. Histopathology snap shots of reflux esophagitis by way of pathpedia. This photo has been selected, edited, and authorized via editor at pathpedia. Again pain symptoms, reasons, analysis, and remedy. Find out what’s causing your again pain and what the excellent treatments are.

Enlarged Heart Aorta Symptoms

look for reflux esophagitis pathology. Discover quick consequences and explore answers now! Reflux esophagitis pathology browse effects instantly. Look for reflux esophagitis pathology. Locate quick consequences and discover solutions now! Reflux esophagitis pathology browse consequences instantly. Acid reflux disorder or gastroesophageal reflux (no longer sickness) occurs sporadically in a wholesome character and has no long term effects. As mentioned beneath what is acid reflux. Reflux therapy uc davis middle for voice and swallowing. Symptoms of reflux together with 10 medical symptoms and symptoms of reflux, alternative diagnoses, misdiagnosis, and accurate prognosis for reflux symptoms or reflux signs. Acid reflux disorder (unexpected, acute) reasons, symptoms, treatment. Acid reflux disease or gastroesophageal reflux (not ailment) occurs sporadically in a wholesome man or woman and has no long term outcomes. As discussed beneath what is acid reflux disorder.

Share on Facebook
Share on Twitter
Share on Google+

Related : Reflux Esophagitis Pathology

0 comments:

Posting Komentar